
GUMMY SMILEガミースマイル
- ホーム>
- ガミースマイル
茨木市でガミースマイル治療なら、
JR茨木駅すぐ
「やまもと歯科クリニック」
茨木市でガミースマイル治療なら、
JR茨木駅すぐ
「やまもと歯科クリニック」
ガミースマイルとは?

「歯ぐきが気になって笑えない」
それがガミースマイル
ガミースマイルとは、笑った時に歯ぐきが見えすぎてしまっている状態のことを指します。女性に特に多く、まわりの人以上に本人がそのことを気にしていて、あまり歯ぐきが見えないように大きく笑わないように気をつけているという方も少なくありません。
原因はいくつかありますが、多くの場合歯科医院で改善することが可能です。
笑った時に気になる歯ぐき
(ガミースマイル )
一緒にキレイにしませんか?
山本 恒一
患者様へのあいさつ
私たちスマイルプラン歯科グループのコンセプトは「すべてにおいて上質な歯科医院であること。」です。質の高いおもてなしと医療サービス、最高レベルの治療技術を患者様に提供できる歯科医院であるために日々研鑽しています。
大阪エリアでガミースマイルの治療をご検討中の患者様はぜひ一度当院の無料カウンセリングにお越し下さい。気になるガミースマイルを改善し、最高のスマイルを一緒につくりましょう!
経 歴
| 1999年 | 大阪大学歯学部 卒業 |
|---|---|
| 2004年 | やまもと歯科クリニック 開院 |
| 2007年 | Clinica Malo(ポルトガル)にてAll-on-4(オールオンフォー) インプラント研修 |
| 2008年 |
スマイルプランやまもと歯科 クリニック リニューアルオープン アメリカ ニューヨーク大学 インプラント科CDEコース入学 |
| 2009年 | ブカレスト大学(ルーマニア)にて サイナスリフト研修 |
| 2010年 | アメリカ ニューヨーク大学 インプラント科CDEコース 卒業 |
| 2012年 | スマイルプランさくら歯科 クリニック 開院 |
| 2016年 | スマイルプランオーク歯科 クリニック 開院 |
| 2020年 | スマイルプラン歯科 クリニック西宮 開院 |
| 2022年 | ホワイトベア歯科 クリニックなんば 開院 |
| 2022年 | スマイルプラン歯科 クリニックOSAKA 開院 |
所属学会等
- 日本臨床歯科学会(東京支部)
- ICOI国際インプラント学会(認定医)
- 日本口腔インプラント学会
- 日本歯科審美学会
- 日本顕微鏡歯科学会
- 日本顎咬合学会
- International Society of
Osseointegration - 大阪口腔インプラント研究会
- International Congress of Oral
Inplantologists
患者様の満足度調査を
実施しております
少しでも患者様にとってより良い⻭科医療を提供するため第三者機関のNPO法人 日本⻭科医療評価機構に依頼をし、患者様の満足度調査を行っています。患者様の率直なご意見をいただき、改善すべき点は真摯に受け止めていきたいと思っています。
当院には患者様の個人情報は一切伝えられませんので、是非、皆様の忌憚のないご意見をお聞かせください。
NPO法人 日本⻭科医療評価機構の調査結果は以下バナーよりご確認ください。
日本歯科医療評価機構とは
日本⻭科医療評価機構は、ネットで⻭医者を検索してみたが、どこに行けばいいか分からない、
診療時間や場所のメリットだけではなく、本当に信頼して通える⻭医者を探したい、
そんな患者様のために本当に信頼して通える⻭科医院を評価・認定することを目的とした組織です。
ガミースマイルの原因
ご存知ですか?
3つのガミースマイルになる原因

ガミースマイルの原因は大きく3つあります
ガミースマイルの原因別
治療方法について
① ガミースマイルの原因が唇の場合

一つめは唇が上に上がりすぎることによって歯ぐきが露出するケースです。歯ぐきがうすい場合や唇を引き上げる筋肉の働きによって、歯ぐきが大きく上に上がってしまって歯ぐきが見えてしまっています。
ガミースマイル 改善:治療法
唇が原因の場合には、唇が上に上がりすぎないようにするために二つの治療法があります。
①ボツリヌストキシン注射
ひとつめは唇を上に持ち上げる筋肉の働きを和らげるためのボツリヌストキシン注射です。上唇挙筋という上唇を上に持ち上げる筋肉の動きを抑制することで、歯茎を見えにくくする治療法です。簡単でダメージも少なく短期間で効果の得られる方法ですが、効果は永久的ではなく、定期的に注射が必要となります。
| 治療の特徴 | ガミースマイルの治療におけるボツリヌストキシン注射は、唇を持ち上げる筋肉を収縮させないように抑制することで歯ぐきが見えすぎないようにする治療です。 |
|---|---|
| メリット | 1番のメリットはやはりとても手軽に受けられる治療であるということです。細い針を使うためほぼ痛みもなく、ボツリヌストキシンを注射するだけなので、10分程度で処置が完了します。 |
| デメリット | 注射後効果は2〜3日で現れますが、その効果は永久に続くわけではなく3〜4ヶ月で消失します。効果が完全に消失する前に追加の施術を受けることで効果を持続させることができます。 |
| 治療期間 | 10〜15分程度 |
| 治療費 | 33,000円(税込) |
② 上唇粘膜切除術
二つめの治療法は、歯ぐきが持ち上がりにくくするために上唇の裏側の粘膜を切除する方法です。リップリポジショニング(上唇粘膜切除術)と言われる方法で上唇の裏側の粘膜を切除し短く縫い合わせることで、上唇が上に上がることを防ぎます。
これは永久的な方法で、後戻りすることもありません。手術の後、傷口が落ち着くまで2週間ほどかかります。
| 治療の特徴 | 唇が過剰に持ち上げられないように、唇の裏側の歯ぐきを一部切りとって縫い付けて固定する方法です。 |
|---|---|
| メリット | 1回(約90分)の治療で状態が改善される。後戻りがない。 |
| デメリット | 術後に痛みや腫れがある。治癒するまで2週間ほどかかる。 |
| 治療期間 | 治療回数は1回で約90分。歯茎の治癒には2週間ほどかかります。 |
| 治療費 | 165,000円(税込) |
② ガミースマイルの原因が
骨格や歯並びの場合

二つめは前歯の位置が口元の中で通常よりも下の方や前の方にあることで、歯ぐきが見えやすくなってしまっているケースです。これには骨格的な要因と歯並びの要因とが関係しています。
ガミースマイル改善:治療法
① 矯正治療
歯並びが原因の場合は矯正治療によって、口元の突出感や下すぎる歯の位置を改善することができます。矯正治療に関しては数ヶ月の治療期間が必要となりますが、同時に噛み合わせや虫歯・歯周病のリスクも減らすことができるため、様々なメリットがあります。
骨格的な原因が大きく影響している場合には、骨切除術が必要となるケースもあります。骨切除術の場合は手術による侵襲も大きいため、治癒するまでは数ヶ月必要になりますが、大きく状態を改善できるのが利点です。
※骨切除手術に関しては当院では対応できませんので、他院の紹介となります。
| 治療の特徴 | 矯正治療の方法についてはいくつかの方法があります。ワイヤーを用いる場合や、マウスピースで行う場合、さらに矯正用の小さなインプラントを併用する場合もあります。歯の移動量や状態に合わせて最適な方法を選択します。 |
|---|---|
| メリット | ガミースマイルの矯正治療の本来の目的は歯のポジションを直すことで、歯の見え具合、歯茎の見え具合を改善することですが、歯の位置がより正しい位置になることで噛み合わせが良くなる、虫歯のリスクや歯周病のリスクが低下するなどのメリットがあります。 |
| デメリット | デメリットについては時間がかかることと矯正治療は保険適応外なので、費用もかかるというところがデメリットであると思います。 |
| 治療期間 | 状態によって変わりますが、半年〜2年くらい。 |
| 治療費 | 440,000〜935,000円(税込) |
③ ガミースマイルの原因が歯ぐきの場合

三つめは歯の長さが短すぎることで歯ぐきが見えてしまうケースです。
これはほとんどの場合、歯の形が短すぎるのではなく、歯ぐきの形が歯に被りすぎていて相対的に歯が短く見えていることが多いです。受動的萌出不全という状態です。
ガミースマイル改善:治療法
① 歯肉整形(歯肉切除)
歯ぐきが歯に被さっていることが原因の場合は、歯ぐきの切除を行って本来の歯の長さがきちんと見える状態にすることによってガミースマイルを改善します。歯に被っている歯ぐきの長さと、歯を支えている歯槽骨との位置関係によって、歯ぐきの切除のみで改善できる場合は歯肉切除術を行います。これはとても簡単な処置で術後の痛みやダメージも少なく治癒期間も1週間程度です。稀に後戻りが起こる場合もあります。
| 治療の特徴 | 歯の周りの歯周ポケットが深く、歯茎を少し切るだけで状態の改善が望める場合、電気メスを使った非常に簡単な方法で歯肉を切除するだけで治療が終了します。 |
|---|---|
| メリット | とても簡単な処置であるため、術後の炎症や腫れもほとんどなく生活に影響することはありません。 |
| デメリット | 後戻りをする場合がある。 |
| 治療期間 | 1日。完全に歯肉が落ち着くまでは2週間ほどかかります。 |
| 治療費 | 1歯 11,000円(税込) |
② 歯冠長延長術
(クラウンレングスニング)
歯ぐきの切除だけでなく歯槽骨の削除も必要な場合は歯冠長延長術(クラウンレングスニング)という方法を行います。この場合は歯ぐきを開いて歯の周りの骨の削除も同時に行います。治癒には2週間ほどかかりますが、後戻りは起こりにくい方法です。
| 治療の特徴 | 歯肉切除と同じように歯肉を切る方法ですが、後戻りがない様に、また歯周組織に適切な環境を与えるために歯の周りの骨も少し削って調整します。 |
|---|---|
| メリット | 1回の処置で大きくガミースマイルを改善することができます。 |
| デメリット | – |
| 治療期間 | 手術は1回で済みますが、術後しっかりと歯ぐきが治るまでは2〜3か月必要です。 |
| 治療費 | 165,000円(税込) |
ガミースマイル治療の流れ
① カウンセリング
まずはあなたのガミースマイルに関するお悩みや不安なことをお聞かせください。
② 精密検査
パノラマX線撮影、CT撮影、必要に応じて歯型を取ります。(印象、スキャン)
③ 精密検査、診断・治療計画説明
検査結果をもとに診査診断を行い、ガミースマイルの治療計画を説明します。
④ 治療開始
ガミースマイルの治療計画にご納得頂き、契約後治療を開始します。
⑤ メインテナンス
ガミースマイルの治療終了後の経過を観察します。
ガミースマイル治療の費用目安
| ボツリヌストキシン注射 | 33,000円(税込) |
|---|---|
| 上唇粘膜切除術 | 165,000円(税込) |
| 矯正治療 | 440,000〜935,000円(税込) |
| 歯肉切除術 (前歯1本〜6本) |
1歯 11,000円(税込) |
| 臨床的歯冠長延長術 (クラウンレングスニング) (前歯1本〜8本) |
165,000円(税込) |
ガミースマイル改善例のご紹介
ガミースマイル治療例の一部をご紹介いたします。ガミースマイル治療経験豊富なドクターによる安心の治療実績
臨床的歯冠長延長術
(ガミースマイル 改善)
術前
術中
術後
| 治療内容 | 臨床的歯冠長延長術により、歯茎の中に隠れていた歯冠が適正に見えるようになりました。 |
|---|---|
| 治療費 | 165,000円(税込) |
| 治療のリスク | 外科処置が必要なため、歯茎が安定するまで2週間ほど必要になります。 |
臨床的歯冠長延長術
(ガミースマイル 改善)
術前
術後
| 治療内容 | 臨床的歯冠長延長術により、歯茎の中に隠れていた歯冠が適正に見えるようになりました。 |
|---|---|
| 治療費 | 165,000円(税込) |
| 治療のリスク | 外科処置が必要なため、歯茎が安定するまで2週間ほど必要になります。 |
臨床的歯冠長延長術
(ガミースマイル 改善)
術前
術後
| 治療内容 | 臨床的歯冠長延長術により、歯茎の中に隠れていた歯冠が適正に見えるようになりました。 |
|---|---|
| 治療費 | 165,000円(税込) |
| 治療のリスク | 外科処置が必要なため、歯茎が安定するまで2週間ほど必要になります。 |
ボツリヌス注射
(ガミースマイル改善)
術前
術中
| 治療内容 | ボツリヌス注射 |
|---|---|
| 治療期間 | 1回 |
| 治療費 | 33,000円(税込) |
| 治療のリスク | ボツリヌス注射による効果は時間の経過とともに失われていきます。 |
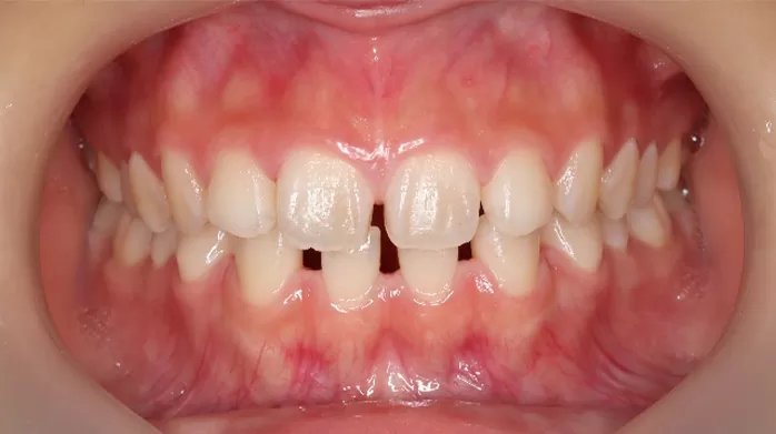
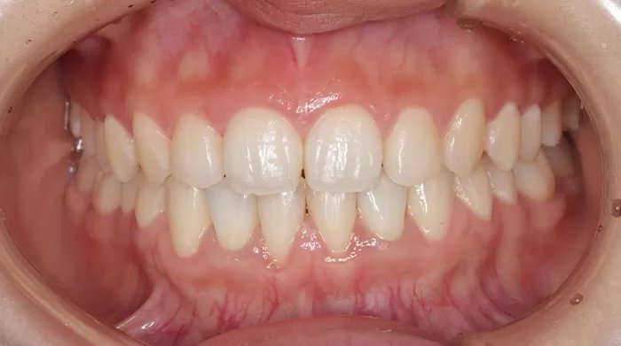
ガミースマイルを
矯正治療で改善した症例
術前





術後





ガミースマイル治療
ご相談受付中!
難波でガミースマイルでお悩みなら、
ガミースマイル治療相談へ
一度ご相談ください

ガミースマイルは治療可能です。
ご予約はお電話またはWEBにて承っております。
ご予約の際に「ガミースマイル治療を希望」とお伝えください。

































