
WISDOM TOOTH親知らず抜歯専門外来
- ホーム>
- 診療内容>
- Dr.山本の親知らずコラム>
- 親知らずは要る?要らない?
COLUMNDr.山本の親知らずコラム
Column 1. 親知らずは要る?要らない?
なんとなくイメージとして親知らずは必要のない歯と思われがちですが、親知らずは「第三大臼歯」と言われて、噛み合わせの力を一番支えてくれる大臼歯のグループの一番奥に位置する歯です。
噛み合わせの力を発揮するための筋肉は、親知らずのさらに後ろの下顎角(いわゆるエラの部分)に位置しているため、必然的に一番力がかかるのは一番奥の歯ということになります。
親知らずがまっすぐに生えていて上の歯としっかりとかみ合っている場合、親知らずは噛む力をかなり負担してくれて、それは他の歯にかかってくる負担を軽減してくれることになります。
親知らずがあることで他の歯が長持ちする場合も多くありますので、まっすぐに生えている親知らずであればできるだけ長く使っていきたいですね。
もう一つ親知らずを積極的に残していきたいケースとしては、親知らずより手前の第一大臼歯(前から6番目の歯)や第二大臼歯(前から7番目の歯)がなくなってしまった場合です。
歯を失った場合、現在ではインプラント治療が最善の治療法ですが、もしブリッジや入れ歯にされる場合、一番奥に親知らずがあるのとないのとでは結果が大きく違ってきます。
すでに大臼歯がなくなってしまっている場合や、その可能性が考えられる場合は積極的に親知らずを残していきたいところです。
同じように他の大臼歯を抜かなければならない場合で、歯根の形がうまく適合するようであれば
親知らずの移植をして失った歯の代わりに機能させられる場合があります。
不要と思われがちな親知らずですが、場合によっては残す価値も十分にあります。
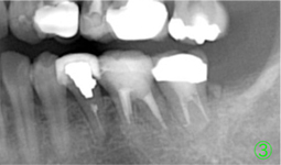
第二大臼歯の歯根が割れていたため、その後ろの親知らずを移植する(①)。親知らずの移植直後(②)。
移植から10年が経過。(③)今のところ問題なく機能してくれている。



































